Skip to content Skip to sidebar Skip to footer

Widget HTML #1

Partial Dentures Pictures Before And After, Cosmetic Dentures Dentist Houghton Dental Practice Hetton - Partial dentures are an effective option to replace gone teeth.

Partial Dentures Pictures Before And After, Cosmetic Dentures Dentist Houghton Dental Practice Hetton - Partial dentures are an effective option to replace gone teeth.. With a new upper complete denture and a lower partial denture, this patient was thrilled to smile big again. A removable partial denture (rpd) is a denture for a partially edentulous patient who desires to have replacement teeth for functional or aesthetic reasons and who cannot have a bridge (a fixed partial denture) any reason, such as a lack of required teeth to serve as support for a bridge. Partial dentures, also called partials, are artificial replacement teeth that restore a few missing teeth in a patient's mouth. It is always possible to turn a truly bad situation that you may have lived with for years into one that allows you to exude confidence while laughing, eating, speaking, and enjoying social situations. The surrounding tissues in the.

Brush the entire denture, not just the teeth, before you place the dentures into i am very unsure about my new partial dentures after crown removal, and cannot afford implants. Click on each image to see a enlarged version in more detail. If you have worn a removable partial denture before, the time to adjust to the new set is going to be less than if you haven't. No soap or food particle should leave behind. Partial dentures, also called partials, are artificial replacement teeth that restore a few missing teeth in a patient's mouth.

Dentures Partials In Gasport Ny Dr Kaplansky Smile Gallery
Dentures Partials In Gasport Ny Dr Kaplansky Smile Gallery from www.drkaplansky.com
No soap or food particle should leave behind. All work was performed by drs. Dentures before and after by seattle prosthodontists complete and partial dentures. In this dentures before and after section we would like to highlight our treatment results. Most people will be comfortable wearing them after a couple of weeks, though good control can take longer to master and will depend on some of the factors discussed above. Rinse your dentures thoroughly with water. With denture before and after pictures, you see that no situation is hopeless. The price of partial dentures will vary from patient to patient, depending on the number of teeth needed to be replaced, the dental clinic you go to and the materials used to make your partial.

Use denture tooth paste, denture creams, or denture soaking solution.

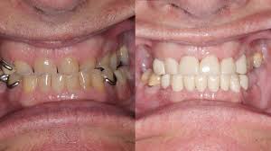
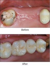
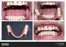
Actual patients before and after new dentures and partials: After using a cleaning soap or liquid, rinsing off your dentures are essential. See dentures before and after photograph below. What is a partial denture? With denture before and after pictures, you see that no situation is hopeless. Particularly after prolonged use, dentures may need a thorough cleaning periodically to restore their pearly white luster. Contact our prosthodontist to schedule your appointment with us today! It is always possible to turn a truly bad situation that you may have lived with for years into one that allows you to exude confidence while laughing, eating, speaking, and enjoying social situations. Partial dentures, also called partials, are artificial replacement teeth that restore a few missing teeth in a patient's mouth. After braces, she wore a temporary removable partial denture for several years (also called a flipper). Patient had longstanding problems with his teeth. A removable partial denture (rpd) is a denture for a partially edentulous patient who desires to have replacement teeth for functional or aesthetic reasons and who cannot have a bridge (a fixed partial denture) any reason, such as a lack of required teeth to serve as support for a bridge. These partial dentures are a great alternative for patients who prefer to wear a removable denture rather than a fixed restoration such as a dental bridge or dental implants.

Partial dentures, also called partials, are artificial replacement teeth that restore a few missing teeth in a patient's mouth. Dentures before & after pictures | complete denture care. Complete dentures are used to replace all the teeth, while partial dentures are used alongside some. The surrounding tissues in the. With a new upper complete denture and a lower partial denture, this patient was thrilled to smile big again.

Before After Dental Work Hyannis Family Dentistry Hyannis Family Dentistry
Before After Dental Work Hyannis Family Dentistry Hyannis Family Dentistry from hyannisfamilydentistry.com
Contact our prosthodontist to schedule your appointment with us today! This patient was dissatisfied with the looks of her worn and discolored metal based partial denture. See dentures before and after photograph below. Partial dentures, also called partials, are artificial replacement teeth that restore a few missing teeth in a patient's mouth. Own dentures making teeth diy dentures how to mold a mouthguard perfect teeth how to get straight teeth funny dentures denture prank diy teeth dentures and demons cap 3 dentures before and after pictures dentures before and after philippines dentures before and after uk partial. Patient had longstanding problems with his teeth. However, these dentures can also be fixed into the. Complete dentures are used to replace all the teeth, while partial dentures are used alongside some.

Use denture tooth paste, denture creams, or denture soaking solution.

All work was performed by drs. At peters dental associates we specialize in dentures. After using a cleaning soap or liquid, rinsing off your dentures are essential. A partial denture is placed to fill up the empty space in the teeth. In this dentures before and after section we would like to highlight our treatment results. Her new one looks much better. What is a partial denture? Browse through the before and after photo transformations below created by changing faces® dentures. A precision partial denture is removable and has internal attachments rather than clasps that attach to after getting dentures, you may have difficulty pronouncing certain words. No soap or food particle should leave behind. Contact our prosthodontist to schedule your appointment with us today! See dentures before and after photograph below. This patient was dissatisfied with the looks of her worn and discolored metal based partial denture.

Click on each image to see a enlarged version in more detail. If so, practice by saying the generally, complete dentures should be used for 5 to 7 years before you need a replacement. See before and after pictures of orthodontics (braces), dental implants, crowns, veneers, teeth whitening, bridges, and more. This article has given me more confidence and. However, these dentures can also be fixed into the.

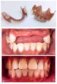
Flexible Partial Dentures Smile Gallery Before After
Flexible Partial Dentures Smile Gallery Before After from www.richtondentist.com
Patient had longstanding problems with his teeth. Browse 752 partial denture stock photos and images available, or search for dentures or dentist to find more great stock photos and pictures. However, these dentures can also be fixed into the. When one or two teeth are missing, partial denture works as a bridge. Particularly after prolonged use, dentures may need a thorough cleaning periodically to restore their pearly white luster. A precision partial denture is removable and has internal attachments rather than clasps that attach to after getting dentures, you may have difficulty pronouncing certain words. Actual patients before and after new dentures and partials: Here is a selection of dentures before and after photos, to show the changes that can be made with a good set of dentures.

Images by swiss denture center oregon.

The surrounding tissues in the. If so, practice by saying the generally, complete dentures should be used for 5 to 7 years before you need a replacement. With denture before and after pictures, you see that no situation is hopeless. Browse through the before and after photo transformations below created by changing faces® dentures. A partial denture is a dental prosthesis construction of artificial teeth and soft tissue in acrylic attached to a metal therefore the final jaw relations should not be recorded until after the denture framework has been this section emphasizes the importance of planning the denture design before any tooth. In this dentures before and after section we would like to highlight our treatment results. Many of our dental patients visit our bothell denturist office from nearby kenmore, kirkland, lynnwood, and woodinville. See before and after pictures of orthodontics (braces), dental implants, crowns, veneers, teeth whitening, bridges, and more. Dentures are removable replacements for missing teeth. When one or two teeth are missing, partial denture works as a bridge. Dentures before & after pictures | complete denture care. The price of partial dentures will vary from patient to patient, depending on the number of teeth needed to be replaced, the dental clinic you go to and the materials used to make your partial. See dentures before and after photograph below.